
Très fréquent dans la population, le tartre est causé par la calcification de la plaque dentaire sur les dents.
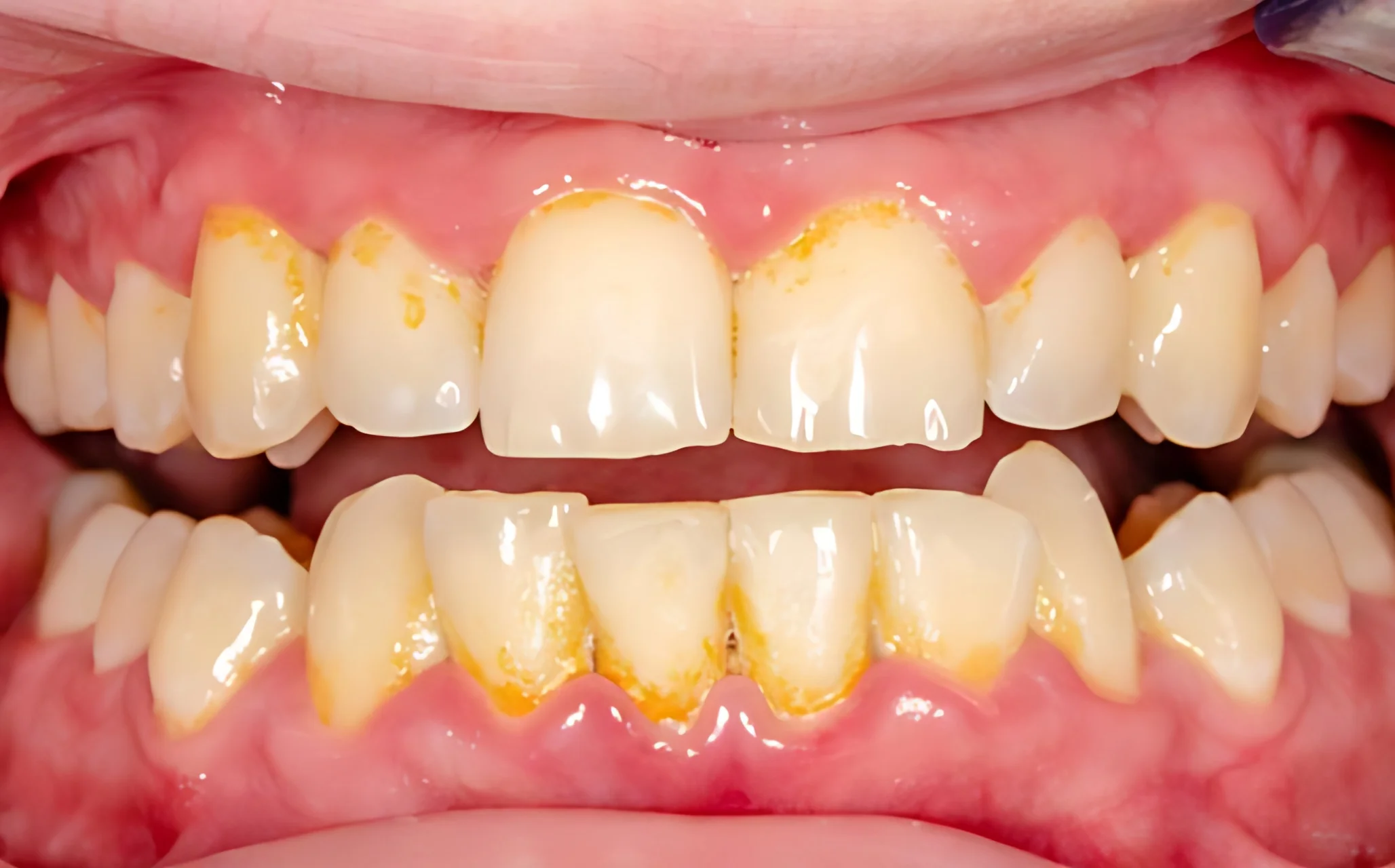
Le tartre est un dépôt dur et blanchâtre qui se développe sur les dents et sous la gencive. Le tartre est favorisé par une mauvaise hygiène bucco-dentaire et une alimentation déséquilibrée. Le tartre est constitué à 75% de matière minérale dont des cristaux de calcium et de magnésium apportés par la salive. Les dents les plus exposées au tartre sont les incisives de la mâchoire inférieure et les molaires de la mâchoire supérieure.
Certains facteurs peuvent aussi favoriser la survenue du tartre. Il s’agit du tabagisme, des caries mal soignées, des prothèses dentaires inadaptées, un traitement orthodontique, certains médicaments, le stress et certaines pathologies comme le diabète. Dur et épais au toucher, le tartre est solidement accroché aux dents et se renforce avec le temps. Il peut ainsi donner aux dents une coloration jaune ou brune.

Il existe deux types de tartre. Le sous-gingival, de couleur brunâtre provenant des produits de dégradation du sang, qui adhère au cément de la face radiculaire de la dent. Le supra-gingival qui se localise sur la dent. Le tartre est facilement identifiable.
Le tartre dans la bouche n’est pas seulement un inconvénient esthétique, mais il peut causer ou aggraver d’autres problèmes de santé. On pense à la gingivite, la mauvaise haleine, les caries, la parodontite ou les maladies systémiques.
Il est possible de prévenir le tartre. Et la meilleure façon de le faire est de maintenir une bouche saine. Il est question d’avoir une bonne hygiène bucco-dentaire. Se brosser les dents au moins deux fois par jour sans oublier de brosser la langue et les gencives, faire de temps en temps un bain de bouche, éviter l’utilisation de fil dentaire, éviter de grignoter entre les repas et surtout éviter de trop consommer du soda ou du jus de fruits.
Il faut savoir aussi que certaines personnes sont plus exposées aux tartres. Il s’agit des personnes âgées, les personnes qui souffrent de sécheresse buccale, les personnes qui n’ont pas une bonne hygiène buccale et les personnes dont l’émail dentaire est faible.
Silué F.
Laisser un commentaire