L’urémie: La maladie des personnes en phase terminale

Lorsque les reins ne filtrent plus les déchets correctement, on parle d'urémie. Une maladie dangereuse.…

Astuces : Jeunes filles, comment raffermir les seins ?

En vieillissant, la peau perd son élasticité et sa fermeté. L'enveloppe du sein se fragilise,…

La canitie: Le blanchissement précoce des cheveux

Les cheveux blanchissent par le vieillissement. C’est la canitie. Des facteurs peuvent accélérer la perte…

Andropause: Mythe ou réalité ?

Au contraire de la ménopause, l’andropause ou le « déficit androgénique lié à l’âge »…

Dyspnée: La sensation d’une respiration difficile

Difficulté respiratoire survenant pour un niveau d'activité, la dyspnée n’est pas une maladie mais un…

La démence vasculaire : Un problème de circulation sanguine

De nombreuses maladies, blessures et affections peuvent toucher différentes parties du cerveau. C’est la démence.…

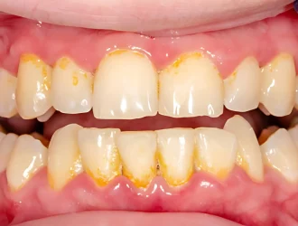
Le tartre dentaire: Négligé mais dangereux

Très fréquent dans la population, le tartre est causé par la calcification de la plaque dentaire…

Poliomyélite: La vaccination pour renforcer l’immunité des enfants

Lutte contre la poliomyélite. C’est environ 10 millions d’enfants de 0 à 59 mois qui…

Herpès: Une infection incurable

Infection courante pouvant provoquer des lésions vésiculaires ou ulcéreuses douloureuses, l’herpès se transmet principalement par…

Zoonose : Maladie qui passe de l’animal à l’homme

Une zoonose est une maladie que les humains attrapent à partir des animaux. Cela se…